Every Thursday at 5:42 a.m., 7:42 a.m. and 5:18 p.m., Dr. Brooke Hildebrand Clubbs provides health information you can trust. With trustworthy sources, she explores the fact and fiction surrounding various medical conditions and treatments, makes you aware of upcoming screenings, gives you prevention strategies and more…all to your health.
Local support is provided by EBO MD — with offices in Cape Girardeau, Jackson, Fredericktown and Poplar Bluff.
- 
                        The U.S. Census Bureau estimates that 40 million kids aged 5 to 14 will be keeping up the tradition of knocking on doors this Halloween. The biggest threat to trick or treaters , according to the American College of Emergency Physicians, is actually cars. Children are four times more likely to be hit by a car on Halloween night than on any other night of the year.
- 
                        Are you a horror movie fan? People usually love them or hate them. Research suggests though that there are good reasons some folks love to be scared and others don’t.
- 
                        Scary tales of people having their blood sucked by vampires or their heads sought by decapitated horsemen give us chills on All Hollows Eve. Urban legends warn us of those who tamper with trick or treat candy. However, research tells us the real danger on Halloween is: creating a jack o’ lantern.
- 
                        October is National Breast Cancer Awareness Month. Today, most people are aware of breast cancer, but many don’t have a plan to detect the disease in its early stages and encourage others to do the same.
- 
                        Consuming energy drinks does come with some risks. In 2017, a South Carolina student died from a caffeine-induced cardiac event after chugging an energy drink that had been preceded by a Mountain Dew and coffee.
- 
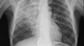
                        How many of you had a grandmother who warned you that you would catch pneumonia if you went outside without your hat in the winter? While our grandmas may have been a little overzealous, and you develop pneumonia, you don’t catch it,, they had a reason to be wary.
- 
                        Yoga, an ancient practice and meditation, has become increasingly popular in the United States. You might be thinking that you’re aware of yoga, but you don’t have the flexibility to give it a try.
- 
                        According to the American Academy of Pediatrics’ Resilience Project, health problems, mental health issues, and substance abuse issues are just some of the common trends seen in older children and adults affected by the emotional trauma associated with toxic stress.
- 
                        September is healthy aging month. Aging does not necessarily mean slowing down. In fact, the CDC’s "Still Going Strong" campaign empowers older adults to take simple steps that will help them age without injury while continuing activities they enjoy.
- 
                        According to the International Association for the Study of Pain, chronic pain is defined as pain that persists or recurs longer than three months. Treatment‐resistant depression is defined by the Food and Drug Administration as inadequate response to a minimum of two antidepressants. Both of these conditions may be helped by brain stimulation.
 
 
 
 
 
 
 
 
 
 
 
